Berita Regional
Alasan Pria di Jatim Masukkan Sikat Gigi ke Alat Vitalnya, Sudah 7 Tahun, Patah saat Hubungan Intim
Ternyata ia melakukan hal itu sejak 2017. Artinya, sudah selama tujuh tahun sikat gigi ada dalam penisnya
TRIBUNJATENG.COM - Alasan pria di Jawa Timur memasukkan sikat gigi ke alat vitalnya.
Ternyata ia melakukan hal itu sejak 2017. Artinya, sudah selama tujuh tahun sikat gigi ada dalam penisnya.
Pria tersebut mendatangi rumah sakit setelah sikat gigi tersebut patah saat ia melakukan hubungan badan.
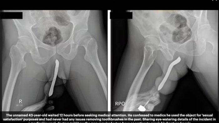
Tepatnya, pria berusia 43 tahun itu datang ke rumah sakit pemerintah di Jawa Timur 12 jam setelah kejadian.
Ia mengatakan memasukkan sikat gigi di penisnya untuk 'kepuasan seksualnya'.
Baca juga: Wanita Diperkosa hingga Nekat Akhiri Hidup, Keluarga Kecewa Polisi Belum Bertindak Sama Sekali
Baca juga: Nasdem Tak Lagi Tunggu PDIP untuk Ajukan Hak Angket DPR

Dikutip dari Daily Mail (1/3/2024), kejadian pria memasukkan sikat gigi ke penis dan patah saat berhubungan seks itu disebutkan dalam International Journal of Surgery Case Reports yang terbit Maret 2024.
Dalam jurnal tersebut disebutkan, pasien mengalami cedera penis saat melakukan hubungan seksual dengan posisi wanita di atas pada malam sebelumnya.
Waktu sejak kecelakaan sampai dia datang ke ruang gawat darurat rumah sakit untuk meminta pertolongan sekitar 12 jam.
Pria tersebut melaporkan penisnya melengkung, nyeri, dan bengkak.
"Dia memiliki riwayat memasukkan sikat gigi ke bagian punggung dan perut penisnya melalui sayatan kecil di rumahnya pada tahun 2017 untuk kepuasan seksual.
Oleh karena itu, pasien telah menyimpan alat tersebut di penisnya selama enam tahun," tulis laporan jurnal tersebut.
Pasien menjalani operasi
Akibat cedera tersebut, pasien harus menjalani operasi yang dilakukan oleh seorang ahli urologi dengan spesialisasi trauma dan rekonstruksi.
Dokter yang menangani pasien mengatakan, salah satu kesulitan operasi pada kasus ini adalah ketika melepaskan sikat gigi yang terlanjur menempel pada jaringan di sekitarnya.
Operasi dilakukan selama dua jam dengan total volume kehilangan darah kurang lebih sebanyak 100–150 mililiter.
Polisi Bunuh Polisi, Sandiwara Briptu Rizka Terbongkar, Ternyata Pelaku Pembunuhan Brigadir Esco |
![]() |
---|
Jaksa Negara Mundur, Gibran Kini Sendirian Lawan Gugatan Rp 125 Triliun |
![]() |
---|
Rekaman CCTV Ungkap Aksi Rezaldy Tewaskan Nenek 71 Tahun |
![]() |
---|
Buronan Nekat Datangi Polres Buat Laporan Kehilangan Tas, Ketahuan karena Grogi saat Ditanya Petugas |
![]() |
---|
Kelabuhi Pengurus Desa, 4 Tenaga Pendamping Desa Bertahun-tahun Korupsi Rugikan Negara Rp2,9 Miliar |
![]() |
---|
Isi komentar sepenuhnya adalah tanggung jawab pengguna dan diatur dalam UU ITE.